CMI Dr. Vintila Alexandra http://cmivintila.ro/index.html Wed, 06 Mar 2019 21:48:58 +0000 ro-RO hourly 1 SitePad Chisturi maxilare http://cmivintila.ro/blog/chisturi-maxilare.html http://cmivintila.ro/blog/chisturi-maxilare/#respond Wed, 06 Mar 2019 21:11:01 +0000 http://cmivintila.ro/blog/chisturi-maxilare.html
chisturi_maxilare

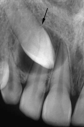
Pacientul I.T. s-a prezentat la cabinet cu dureri și sângerări la partea anterioară a maxilarului. După prima consultație s-a diagnosticat cu chist la nivelul osului maxilar.

Chisturile oaselor maxilare reprezinta cauza ce mai frecventa a deformarilor osoase cronice de la nivelul viscerocraniului. Aceste entitati clinice si histopatologice se dezvolta in special la nivelul oaselor maxilare, localizarile la nivelul altor oase ale corpului fiind relativ rare. In plus, o serie de leziuni chsitice  non-odontogene, care afecteaza scheletul in general se pot regasi uneori si la nivelul oaselor maxilare. Localizarea cu predilectie la nivelul maxilarelor se explica prin prezenta a numeroase resturi epiteliale odontogene, provenite din procesul de dezvoltare a dintelui (odontogeneza) si restante in oasele maxilare.

chist2
chist3

Aspectul tipic pentru o forma de mici dimensiuni este de radiotransparenta uniloculara, care inconjoara coroana unui dinte inclus sau semiinclus si care se ataseaza la coletul dintelui. In evolutie, atasarea la coletul dintelui este relativa pe imaginea radiografica.

Radiotransparenta este bine delimitata, cu contur net, adeseori discret radioopac; in cazul in care a fost suprainfectat, limitele chistului par mai putin nete. Trebuie avut in vedere faptul ca exista o serie de variatiuni ale acestui aspect radiografic.

Varianta cu extensie laterala este prezenta in cazul unui molar de minte inferior semiinclus, in care radiotransparenta intereseaza doar portiunea distala a dintelui, spre ramul mandibular.

Varianta cu extensie vestibulara apare in contextul unui molar de minte inferior semiinclus, incat imaginea radiografica este de radiotransparenta uniloculara suprapusa peste bifurcatia radacinilor acestui dinte. Aceasta varianta a fost denumita si chist paradentar sau  chist vestibular de bifurcatie, considerat de unii autori ca entitate clinica separata, cu localizare la nivelul primului molar sau molarului trei inferior.

Varianta „circumferentiala” se prezinta ca o radiotransparenta care se extinde spre apical, nerespectand jonctiunea amelo-dentinara a coletului dentar, sau poate chiar circumscrie radiografic dintele. In cazul chisturilor foliculare de mari dimensiuni, aspectul poate fi aparent multilocular, dar acesta se datoreaza unor trabecule osoase restante, suprapuse peste radiotransparenta chistului.

]]>
http://cmivintila.ro/blog/chisturi-maxilare/feed/ 0
Paradontoză http://cmivintila.ro/blog/cazul-paradontoza.html http://cmivintila.ro/blog/cazul-paradontoza/#respond Wed, 06 Mar 2019 20:54:24 +0000 http://cmivintila.ro/blog/cazul-paradontoza.html

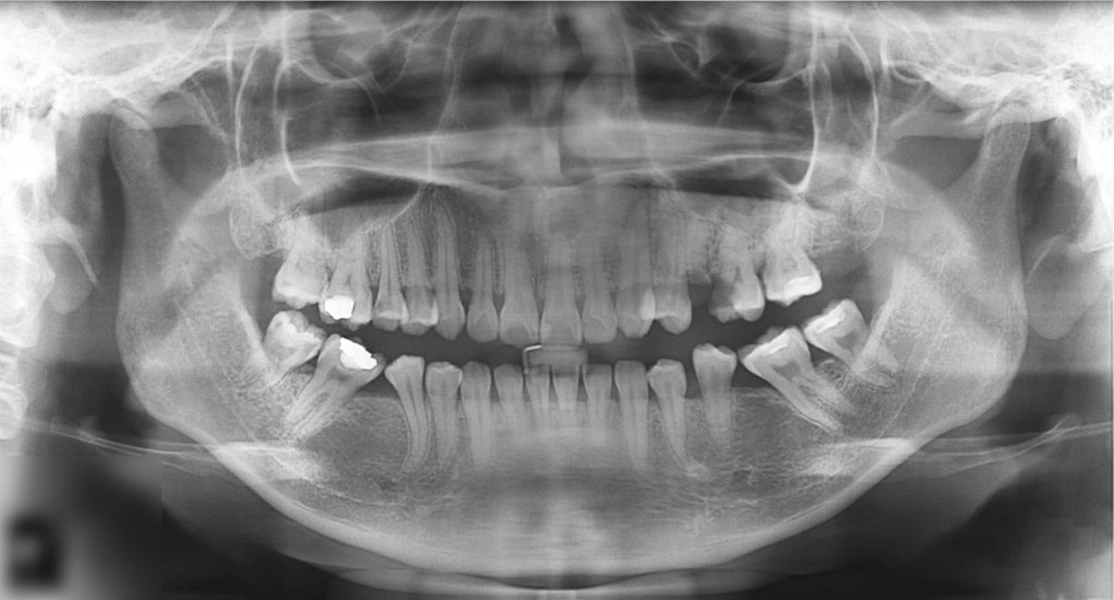
Pacientul Z.A. s-a prezentat la cabinet cu o durere insuportabilă localizată la nivelul maxilarului.

 

După prima ședință de tratament durerea a mai cedat. Pacientul colaorează mai bine și totodată manifestă interes pentru alternative ale plaului de tratament.

imagesâortopantomograma1

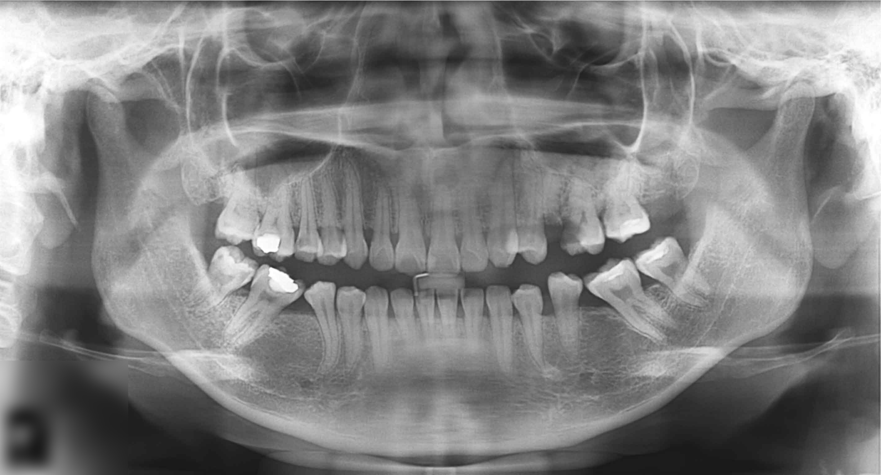
Planul de tratament recomandat a fost acceptat de pacient.

O nouă radiografie ne arată ameliorarea problemei inițiale. Tratamentele de canal au adus un aport substanțial la aceasta.

 

 

 

 

]]>
http://cmivintila.ro/blog/cazul-paradontoza/feed/ 0