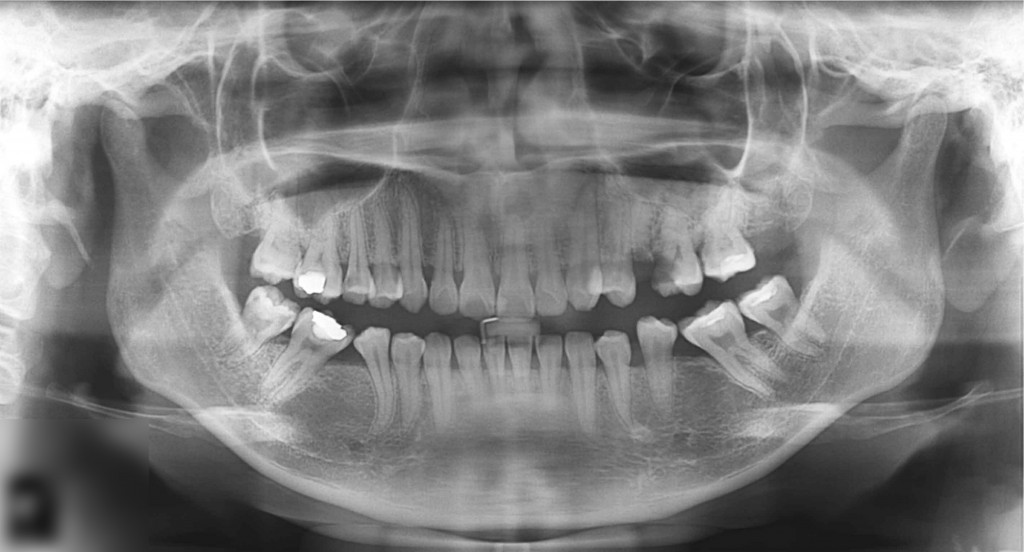
Pacientul Z.A. s-a prezentat la cabinet cu o durere insuportabilă localizată la nivelul maxilarului.
Planul de tratament recomandat a fost acceptat de pacient.
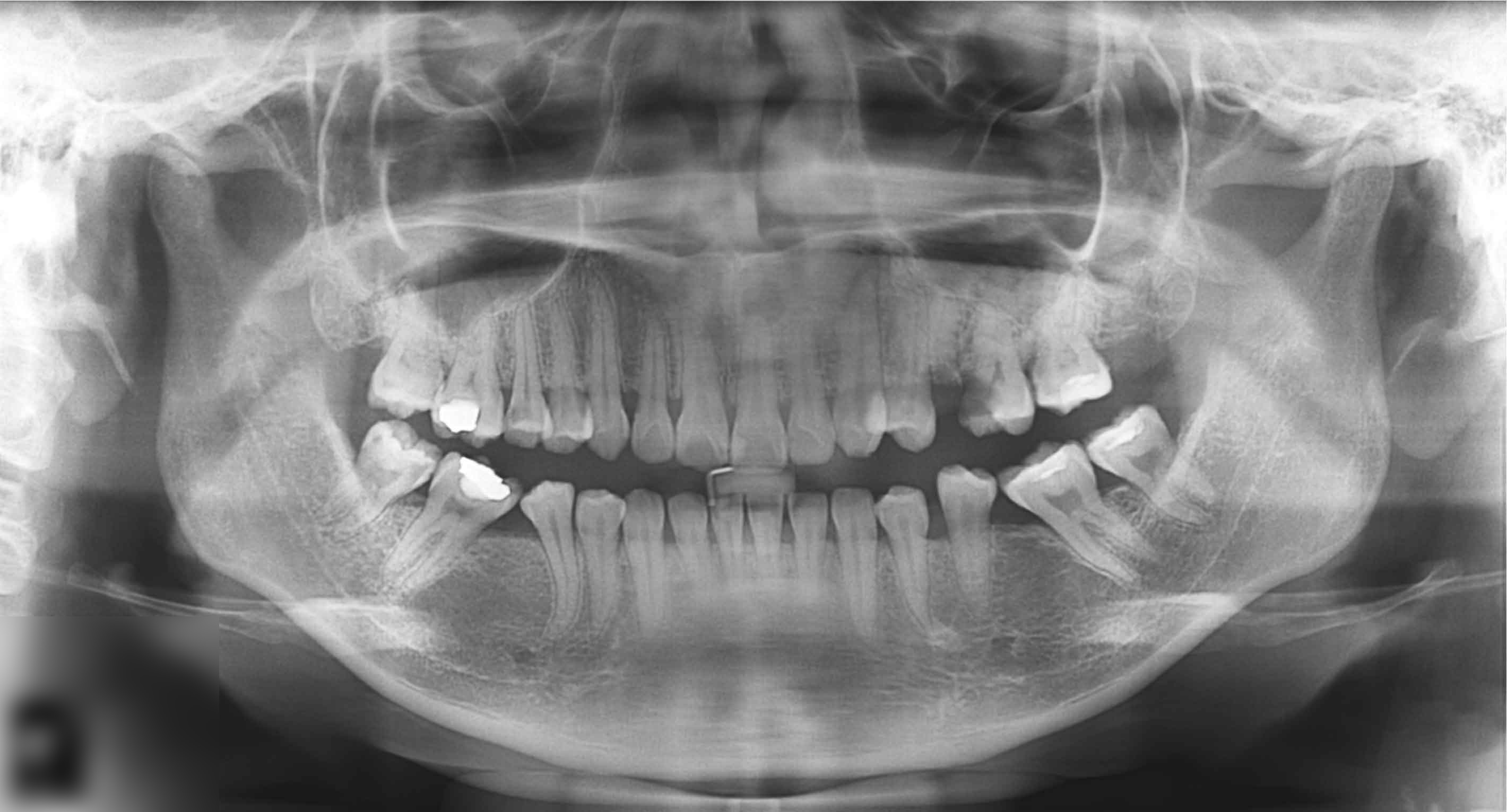
O nouă radiografie ne arată ameliorarea problemei inițiale. Tratamentele de canal au adus un aport substanțial la aceasta.
